רҵ»¥×÷Ñо¿¼¼ÊõÍŶÓ
¸»ºñ»¥×÷ÀàÉè¼ÆÂÄÀú
1000+»¥×÷ʵÑéÏîÄ¿ÂÄÀú
Á÷³ÌÉè¼Æµ½¼¼ÊõʵÑéһվʽЧÀÍ
miRNA¿ÉÒÔÓëmRNAÁ¬Ïµµ÷ÀíÌåÄÚ»ùÒòµÄ±í´ï£¬£¬£¬£¬£¬£¬Í¨¹ýÓ°Ïìµ°?µÄ±í´ï¡¢ÐÞÊΡ¢Ã¸»îÐÔµÈÀ´µ÷Àí?ÔËÆø¶¯µÄ½ø?¡£¡£¡£¡£lncRNA×÷ΪÌåÄÚµÄceRNA£¬£¬£¬£¬£¬£¬¿ÉÒÔÓëmiRNAÁ¬ÏµÆðµ½µ÷Àí»ùÒò±í´ïµÄ×÷?¡£¡£¡£¡£Ñо¿lncRNAÓëmiRNAµÄÏ໥×÷?¹ØÓÚÑо¿?Ãü¾ßÓÐÖ÷ÒªµÄÒâÒå¡£¡£¡£¡£
˫ӫ¹âËØÃ¸¼ì²âÊÇת¼µ÷¿ØÑо¿ÖÐ?·ÖÖ÷ÒªµÄʵÑé?¶Î£¬£¬£¬£¬£¬£¬Ö÷ÒªÓ¦?ÓÚÆô¶¯?ºÍת¼Òò?£¬£¬£¬£¬£¬£¬ÒÔ¼°miRNAºÍÆä°Ð»ùÒò»¥×÷µÄÑéÖ¤¡£¡£¡£¡£
- ÔÚ˫ӫ¹âËØÃ¸¼ì²âÖУ¬£¬£¬£¬£¬£¬½«Ó©??Ó«¹âËØÃ¸×÷ΪʵÑ鱨¸æ»ùÒò£¬£¬£¬£¬£¬£¬º£ÉöÓ«¹âËØÃ¸×÷Ϊ±ÈÕÕ±¨¸æ»ùÒò¡£¡£¡£¡£ÊµÑ鱨¸æ»ùÒò?ÓÚ²âÊÔʵÑéÌõ¼þÏ»ùÒòµÄ±í´ï£¬£¬£¬£¬£¬£¬?±ÈÕÕ±¨¸æ»ùÒò×÷ΪÄÚ±ÈÕÕ¡£¡£¡£¡£
- ÒÔÓ«¹âËØÎªµ×ÎïÀ´¼ì²âÓ©??Ó«¹âËØÃ¸»îÐÔ£¬£¬£¬£¬£¬£¬Ó«¹âËØÃ¸¿ÉÒÔ´ß»¯Ó«¹âËØ£¬£¬£¬£¬£¬£¬ÔÚÓ«¹âËØÑõ»¯µÄÀú³ÌÖлᷢ³ö?ÎïÓ«¹â£¬£¬£¬£¬£¬£¬È»ºóͨ¹ý»¯Ñ§·¢¹âÒDzⶨ¡£¡£¡£¡£
● ת¼Òò?ÓëÆô¶¯?

½«Æô¶¯×ÓÐòÁй¹½¨µ½Ó©»ð³æÓ«¹âËØÃ¸»ùÒòǰ£¬£¬£¬£¬£¬£¬Í¬Ê±¹ý±í´ïת¼Òò×Ó¡£¡£¡£¡£µ±×ªÂ¼Òò×ÓÓëÆô¶¯×ÓÉÏÌØÒìÁ¬ÏµÎ»µãÁ¬Ïµºó¼¤»îÓ«¹âËØÃ¸»ùÒòת¼£¬£¬£¬£¬£¬£¬Ê¹Ó©»ð³æÓ«¹âËØÃ¸µÃÒÔ±í´ï£¬£¬£¬£¬£¬£¬×îÖÕÓ«¹âÇ¿¶ÈÉÏÉý£»£»£»£»£»£»µ±Á¬ÏµÎ»µã±»Í»±äºó£¬£¬£¬£¬£¬£¬×ªÂ¼Òò×ÓÎÞ·¨ÓëÆô¶¯×ÓÁ¬Ïµ£¬£¬£¬£¬£¬£¬Òò´ËÓ«¹âÖµÎÞÏÔ×Åת±ä¡£¡£¡£¡£

● miRNAÓë°Ð»ùÒò


½«°Ð»ùÒòÐòÁй¹½¨µ½Ó©»ð³æÓ«¹âËØÃ¸»ùÒò3'ÇøÓò£¬£¬£¬£¬£¬£¬Í¬Ê±¹ý±í´ïmicroRNA¡£¡£¡£¡£µ±microRNAÓë°Ð»ù ÒòÉÏÌØÒìÁ¬ÏµÎ»µãÁ¬Ïµºó£¬£¬£¬£¬£¬£¬½«×ÌÈÅÓ«¹âËØÃ¸mRNAµÄ·Òë»òµ¼ÖÂÆäѸËÙ½µ½â£¬£¬£¬£¬£¬£¬Ê¹Ó«¹âÇ¿¶È½µµÍ£»£»£»£»£»£»µ±Á¬ÏµÎ»µã±»Í»±äºó£¬£¬£¬£¬£¬£¬microRNAÎÞ·¨Óë°Ð»ùÒòÁ¬Ïµ£¬£¬£¬£¬£¬£¬Òò´ËÓ«¹âÖµÎÞÏÔ×Åת±ä¡£¡£¡£¡£
YY1-mediated reticulocalbin-2 upregulation promotes the hepatocellular carcinoma progression via activating MYC signaling.
ÆÚ¿¯£ºAm J Cancer Res IF£º5.177
Schematic illustration of YY1 binding site on the wild type and mutant RCN2 promotor. Fluorescence activity in Huh7 cells with RCN2 wildtype and mutant promotor with YY1 pcDNA3.1.
×ðÁú¿Ê±ÓëºËËáµÄÏ໥×÷ÓÃÆÕ±é±£´æÓÚÉúÔËÆø¶¯µÄµ÷ÀíÖС£¡£¡£¡£»£»£»£»£»£»ùÒòµÄ¸´ÖÆ¡¢×ªÂ¼¡¢·Òë¡¢ÐÞÊεÈÀú³Ì¶¼Àë²»¿ªºËËáºÍ×ðÁú¿Ê±µÄ»¥×÷¡£¡£¡£¡£½ð¿ªÈðÌṩRNA pull down+ÖÊÆ×¡¢Ë«Ó«¹âËØÃ¸¡¢È¾É«ÖÊÃâÒß¹²³Áµí¡¢Äý½ºÇ¨áã»òµçӾǨáãÂʼì²â£¨EMSA£©¡¢½Íĸµ¥ÔÓ½»¡¢DNA pull downµÈ¼¼ÊõÀ´¼ì²âDNA/RNAÓë×ðÁú¿Ê±µÄÏ໥×÷Óᣡ£¡£¡£
Äý½ºÇ¨áã»òµçӾǨáãÂʼì²â£¨Electrophoretic Mobility Shift Assay£¬£¬£¬£¬£¬£¬EMSA£©ÊÇÒ»ÖÖ¼ì²â×ðÁú¿Ê±ÖʺÍDNA ÐòÁÐÏ໥Á¬ÏµµÄ¼¼Êõ£¬£¬£¬£¬£¬£¬¿ÉÓÃÓÚ¶¨ÐԺͶ¨Á¿ÆÊÎö¡£¡£¡£¡£ÏÖÔÚÒÑÓÃÓÚÑо¿DNA Á¬Ïµ×ðÁú¿Ê±ºÍÌØ¶¨µÄDNA ÐòÁеÄÏ໥×÷Ó㬣¬£¬£¬£¬£¬ÊÇת¼Òò×ÓÑо¿µÄ¾µäÒªÁì¡£¡£¡£¡£
½ð¿ªÈðÌṩEMSA ¼ì²â¼¼ÊõЧÀÍ£¬£¬£¬£¬£¬£¬×ÊÖúÄú¼ì²âDNA Á¬Ïµ×ðÁú¿Ê±¡¢RNA Á¬Ïµ×ðÁú¿Ê±¡¢Ìض¨µÄ×ðÁú¿Ê±ÖÊ¡£¡£¡£¡£
Ä¿µÄ×ðÁú¿Ê±ÓëÉúÎïËØ±ê¼ÇµÄDNA̽ÕëÁ¬Ïµ£¬£¬£¬£¬£¬£¬µçӾʱ×ðÁú¿Ê±-DNA¸´ºÏÎï±ÈÎÞ×ðÁú¿Ê±Á¬ÏµµÄDNA̽ÕëÔÚÄý½ºÖÐÓ¾¶¯µÄËÙÂÊÂý£¬£¬£¬£¬£¬£¬ÏÔÓ°·ºÆðÏà¶ÔÖͺóÌõ´ø¡£¡£¡£¡£
Functional Analysis of IRF1 Reveals its Role in the Activation of the Type I IFN Pathway in Golden Pompano, Trachinotus ovatus (Linnaeus 1758).
ÆÚ¿¯£ºInt J Mol Sci. IF£º4.183
Binding reactions of IRF1 and ToIFNa3 prompter. Biotin-labeled EMSA probes were incubated with lysates of HEK293T cells containing ToIRF1 protein.WT,wild-type probe;MT:mutated probe.1,negative control;2,positive control;3,plus ToIFNa3-P2-WT5;4,ToIFNa3-P2-WT5 plus ToIRF1-Flag;5,plus ToIFNa3-P2-MT5;6,ToIFNa3-P2-MT5 plusToIRF1-Flag.
ChIPȾɫÌåÃâÒß¹²³Áµí£¨Chromatin Immunoprecipitation£¬£¬£¬£¬£¬£¬ChIP£©ÊÇÓÃÀ´Ñо¿×ðÁú¿Ê±ÖÊÓëDNAÊÇ·ñÔÚÌåÄÚ±£´æÏ໥×÷Ó㬣¬£¬£¬£¬£¬ÕâÏî¼¼Êõ×ÊÖúÑо¿ÕßÅжÏÔÚϸ°ûºËÖлùÒò×éµÄÄ³Ò»ÌØ¶¨Î»Öû᷺ÆðºÎÖÖ×é×ðÁú¿Ê±ÐÞÊΡ£¡£¡£¡£Ê¹Óÿ¹Ì忹ÔÌØÒìÐÔÁ¬Ïµ£¬£¬£¬£¬£¬£¬½«ÓëÄ¿µÄ×ðÁú¿Ê±ÏàÁ¬ÏµµÄDNAƬ¶Ï³ÁµíÏÂÀ´£¬£¬£¬£¬£¬£¬Äܹ»ÕæÊµµØ·´Ó¦Á¬ÏµÔÚDNAÐòÁÐÉϵĵ÷¿Ø×ðÁú¿Ê±¡£¡£¡£¡£
YAP inhibits autophagy and promotes progression of colorectal cancer via upregulating Bcl-2 expression
ÆÚ¿¯£ºCell Death Dis IF£º6.304
C ChIP-qPCR was performed in SW620 cells transfected with pcDNA3.1-HA-YAP to identify the enrichment of HA-YAP onto Bcl-2 promoter region. IgG served as an antibody control.
DNA pull downÊÇÓÃÓÚÆÊÎö×ðÁú¿Ê±ÖÊÓëDNA»¥×÷µÄÒ»ÖÖÆÊÎö¼¼Êõ¡£¡£¡£¡£Ò»Ñùƽ³£À´Ëµ£¬£¬£¬£¬£¬£¬¸ÃʵÑéÊ×ÏÈÐèÒªÕë¿´´ýÑо¿Ä¿µÄ»ùÒòµÄµ÷¿ØÇøÓòÉè¼Æ²¢ÖƱ¸ÌØÒìÐÔ̽Õ루ÒÔÍÑÁòÉúÎïËØ±ê¼ÇΪÖ÷Á÷£©£»£»£»£»£»£»Í¬Ê±£¬£¬£¬£¬£¬£¬ÖƱ¸Ï¸°ûºËÌáÈ¡Î£»£»£»£»£»½«Ì½ÕëºÍºËÌáÈ¡ÎïÅäºÏ·õÓý£¬£¬£¬£¬£¬£¬DNAÁ¬Ïµ×ðÁú¿Ê±¾Í»áºÍ°ÐÏòÐòÁÐÌØÒìÐÔÁ¬Ïµ£»£»£»£»£»£»È»ºó£¬£¬£¬£¬£¬£¬Í¨¹ýÇ׺ÍËØ´ÅÖé´¿»¯×ðÁú¿Ê±ÖÊDNA¸´ºÏÎ£»£»£»£»£»×îºóÕë¶Ô»ñµÃµÄ×ðÁú¿Ê±£¬£¬£¬£¬£¬£¬Ê¹ÓÃWBÑéÖ¤»òÕßÖÊÆ×·½·¨ÅжÏ×ðÁú¿Ê±ÖÊÀàÐÍ¡£¡£¡£¡£
Ó¦ÓãºÑ°ÕÒÒÑÖªµÄÆô¶¯×ÓÐòÁÐËùÁ¬ÏµµÄδ֪×ðÁú¿Ê±£¨×ªÂ¼Òò×Ó£©
Ч¹û£ºÊµÑé×éºÍ±ÈÕÕ×éÖ®¼ä±£´æ²î±ðÌõ´ø
½Íĸµ¥ÔÓ½»¼¼ÊõÊÇÔÚ½Íĸ˫ÔÓ»ù´¡ÉÏÉú³¤¶øÀ´µÄÒ»ÖÖÑо¿ºËËá-×ðÁú¿Ê±Ï໥×÷ÓõŤ¾ß£¬£¬£¬£¬£¬£¬±»ÆÕ±éÓÃÓÚÑо¿ÕæºËϸ°ûÄÚ»ùÒòµÄ±í´ïµ÷¿Ø£¬£¬£¬£¬£¬£¬ÈçÅбðDNAÁ¬ÏµÎ»µã·¢Ã÷DZÔÚµÄÁ¬Ïµ×ðÁú¿Ê±»ùÒò¡¢ÆÊÎöDNAÁ¬Ïµ½á¹¹ÓòÐÅÏ¢µÈ¡£¡£¡£¡£
| ÏîÄ¿Ãû³Æ | Ó¦Óà | »¥²¹ÊµÑé |
|---|---|---|
| ½ÍĸÔÓ½»ÎĿ⹹½¨ | ½ÍĸÔÓ½»É¸Ñ¡ | / |
| ½Íĸµ¥/Ë«ÔÓ½»ÑéÖ¤ | ÒÑÖª×ðÁú¿Ê±Óë×ðÁú¿Ê±/Æô¶¯×ÓÖ®¼äµÄ»¥×÷ | EMSA£¬£¬£¬£¬£¬£¬Ë«Ó«¹âËØÃ¸£¬£¬£¬£¬£¬£¬Co-IP£¬£¬£¬£¬£¬£¬GST pulldown |
ºË½Íĸµ¥/Ë«ÔÓ½»ÏµÍ³ÔÀí£º½Íĸת¼Òò×ÓGal4°üÀ¨DNAÁ¬Ïµ½á¹¹Óò£¨Gal4-BD£©ºÍת¼¼¤»îÓò£¨Gal4-AD£©£¬£¬£¬£¬£¬£¬ÓÕ¶ü£¨prey£©ÓëGal4-BDÈںϣ¬£¬£¬£¬£¬£¬ÁÔÎbait£©×ðÁú¿Ê±ÓëGal4-ADÈںϣ¬£¬£¬£¬£¬£¬µ±ÓÕ¶üºÍÁÔÎﱬ·¢Ï໥×÷ÓÃʱ£¬£¬£¬£¬£¬£¬Gal4-BDºÍGal4-ADÔÚ¿Õ¼äÉϳä·Ö¿¿½ü£¬£¬£¬£¬£¬£¬¿É·ºÆðÍêÕûµÄGAL4ת¼Òò×Ó»îÐÔ£¬£¬£¬£¬£¬£¬Æô¶¯¼¤»î±¨¸æ»ùÒòAUR1-C¡¢ADE2¡¢HIS3ºÍMEL1µÄת¼¡£¡£¡£¡£
1: Pabai-Bait+PGADT7(×Ô¼¤»îÑéÖ¤)
2: Pabai-Bait+PGADT7-Prey(ʵÑé×é)
+: Pabai-P53+PGADT7-53(ÑôÐÔ±ÈÕÕ)
- : Pabai-P53+PGADT7(ÒõÐÔ±ÈÕÕ)
×ðÁú¿Ê±ÖÊÓëRNA µÄÏ໥×÷ÓÃÊÇÐí¶àϸ°û¹¦Ð§µÄ½¹µã£¬£¬£¬£¬£¬£¬Èç×ðÁú¿Ê±Öʺϳɡ¢mRNA ×é×°¡¢²¡¶¾¸´ÖÆ¡¢Ï¸°û·¢Óýµ÷¿ØµÈ¡£¡£¡£¡£Ê¹ÓÃÌåÍâת¼·¨±ê¼ÇÉúÎïËØRNA ̽Õ룬£¬£¬£¬£¬£¬È»ºóÓë°û½¬×ðÁú¿Ê±ÌáȡҺ·õÓý£¬£¬£¬£¬£¬£¬ÐγÉRNA-×ðÁú¿Ê±Öʸ´ºÏÎï¡£¡£¡£¡£¸Ã¸´ºÏÎï¿ÉÓëÁ´Ã¹Ç׺ÍËØ±ê¼ÇµÄ´ÅÖéÁ¬Ïµ£¬£¬£¬£¬£¬£¬´Ó¶øÓë·õÓýÒºÖÐµÄÆäËûÒòËØÊèÉ¢¡£¡£¡£¡£¸´ºÏÎïÏ´ÍѺ󣬣¬£¬£¬£¬£¬Í¨¹ýWB ʵÑé¼ì²âÌØ¶¨µÄRNA Á¬Ïµ×ðÁú¿Ê±ÊÇ·ñÓëRNA Ï໥×÷Óᣡ£¡£¡£Èô´ý¼ì²âÄ¿µÄ×ðÁú¿Ê±Ã÷È·£¬£¬£¬£¬£¬£¬Ñ¡ÔñWBÅжϣ»£»£»£»£»£»Èô²»Ã÷È·£¬£¬£¬£¬£¬£¬Ôò¿ÉÑ¡ÔñÖÊÆ×Åжϡ£¡£¡£¡£
½ð¿ªÈðÏÖÌṩRNA pull down ¼ì²â¼¼ÊõЧÀÍ, ʹÓÃÌØÒìÐÔ¶þ¿¹¾ÙÐмì²â£¬£¬£¬£¬£¬£¬ÄÜÓÐÓÃ×èÖ¹¿¹ÌåÖØÁ´¶ÔЧ¹ûµÄÐźÅ×ÌÈÅ¡£¡£¡£¡£²¢ÇÒ½ð¿ªÈðÅäÌ××Ô¼ºµÄÖÊÆ×Æ½Ì¨£¬£¬£¬£¬£¬£¬ÄÜÏÔÖøÌáÉý¼ì²âЧ¹û¡£¡£¡£¡£
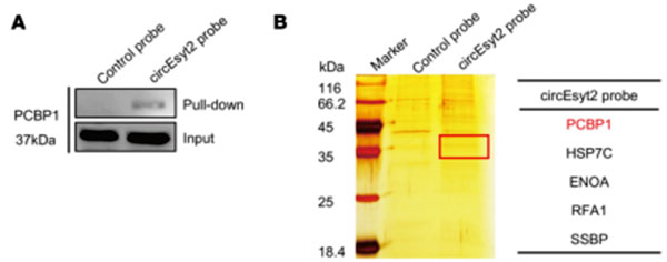
Circular RNA circEsyt2 regulates vascular smooth muscle cell remodeling via splicing regulation
ÆÚ¿¯£ºJ Clin Invest IF£º11.864
CircEsyt2 inhibits the nuclear trafficking of PCBP1 by binding directly to PCBP1. (A) Western blotting of proteins pulled down by control and circEsyt2 probes in circEsyt2-OE HEK293T cells using the PCBP1 antibody. (B) Identification of circEsyt2-binding proteins. Left: silver staining of pulled-down proteins in circEsyt2-OE HEK293T cells. Right: mass spectrometry showing the main proteins pulled down by the circEsyt2 probe.
RIP ¼¼Êõ£¨RNA Binding Protein Immunoprecipitation Assay£¬£¬£¬£¬£¬£¬RNA Á¬Ïµ×ðÁú¿Ê±ÃâÒß³Áµí£©Ö÷ÒªÊÇÔËÓÃÕë¶ÔÄ¿µÄ×ðÁú¿Ê±µÄ¿¹Ìå°ÑÏìÓ¦µÄRNA-×ðÁú¿Ê±¸´ºÏÎï³ÁµíÏÂÀ´£¬£¬£¬£¬£¬£¬È»ºó¾ÓÉÊèÉ¢´¿»¯¾Í¿ÉÒÔ¶ÔÁ¬ÏµÔÚ¸´ºÏÎïÉϵÄRNA ¾ÙÐÐq-PCRÑéÖ¤»òÕß²âÐòÆÊÎö¡£¡£¡£¡£RIP ÊÇÑо¿Ï¸°ûÄÚRNA Óë×ðÁú¿Ê±Á¬ÏµÇéÐεļ¼Êõ£¬£¬£¬£¬£¬£¬ÊÇÏàʶת¼ºóµ÷¿ØÍøÂ綯̬Àú³ÌµÄÓÐÁ¦¹¤¾ß£¬£¬£¬£¬£¬£¬¿ÉÒÔ×ÊÖúÎÒÃÇ·¢Ã÷miRNA µÄµ÷Àí°Ðµã¡£¡£¡£¡£
ƾ֤¿Í»§ÐèÇ󣬣¬£¬£¬£¬£¬½ð¿ªÈð¿ÉÒÔÌṩRNA/×ðÁú¿Ê±¡¢RNA/RNA»¥×÷ÑéÖ¤RIP¼¼ÊõЧÀÍ¡£¡£¡£¡£
CircPVT1 promotes proliferation of lung squamous cell carcinoma by binding to miR-30d/e
ÆÚ¿¯£ºJ Exp Clin Cancer Res IF£º11.161
c RIP confirmed the relationship between circPVT1 and HuR in H520 cells. GAPDH mRNA was used as a non-HuR target control.
ʹÓôøÓбêÇ©µÄÒÑÖª×ðÁú¿Ê±×÷ΪÓÕ¶ü×ðÁú¿Ê±£¨×î³£ÓõÄÊÇGST±êÇ©£¬£¬£¬£¬£¬£¬¼´¹Èë׸ÊëÄÛÏ»ù×ªÒÆÃ¸£¬£¬£¬£¬£¬£¬glutathione S-transferase£©£¬£¬£¬£¬£¬£¬ÓÕ¶ü×ðÁú¿Ê±ÌØÒìÐÔÁ¬Ïµ¹Èë׸ÊëÄÇ׺ÍÊ÷Ö¬£¬£¬£¬£¬£¬£¬µ±Ä¿µÄ×ðÁú¿Ê±ÈÜÒº¹ýÖùʱ£¬£¬£¬£¬£¬£¬½«ÓÕ¶ü×ðÁú¿Ê±¼°ÆäÏ໥×÷ÓõÄ×ðÁú¿Ê±¸´ºÏÎï²¶»ñ¡£¡£¡£¡£¸´ºÏÎïÏ´ÍѺ󣬣¬£¬£¬£¬£¬Í¨¹ý×ðÁú¿Ê±Äý½ºµçÓ¾ÆÊÎöÁ½ÖÖ×ðÁú¿Ê±¼äµÄÏ໥×÷Ó㬣¬£¬£¬£¬£¬»òÕßɸѡÏìÓ¦µÄÄ¿µÄ×ðÁú¿Ê±¡£¡£¡£¡£
Aberrant oligodendroglial LDL receptor orchestrates demyelination in chronic cerebral ischemia
ÆÚ¿¯£ºJ Clin Invest IF£º11.864
(C) GST pull-down assay revealing the interaction between LDLR and Shc (n = 3 in each group).
ÃâÒß¹²³Áµí¼¼Êõ£¨co-Immunoprecipitation, co-IP£©ÊÇÒ»ÖÖÑо¿Á½ÖÖ×ðÁú¿Ê±ÔÚÌåÄÚÊÇ·ñ±£´æÏ໥×÷ÓõÄÓÐÓÃÒªÁ죬£¬£¬£¬£¬£¬Í¨¹ý¿¹ÌåºÍÒÑÖª×ðÁú¿Ê±Á¬Ïµ£¬£¬£¬£¬£¬£¬´Ó¶ø²¶»ñÕû¸öÒÑÖª×ðÁú¿Ê±¸´ºÏÎ£¬£¬£¬£¬£¬½ø¶øÑо¿¸´ºÏÎïÖÐÓëÒÑÖª×ðÁú¿Ê±±£´æÏ໥×÷ÓõÄ×ðÁú¿Ê±¡£¡£¡£¡£
Aberrant oligodendroglial LDL receptor orchestrates demyelination in chronic cerebral ischemia
ÆÚ¿¯£ºJ Clin Invest IF£º11.864
LDLR protects against demyelination by binding Shc and activating downstream MEK/ERK signaling. (A) Immunoassay of lysates of cerebral CC tissue after immunoprecipitation with LDLR, analyzed by immunoblotting (IB) with anti-LDLR and anti-Shc (n = 3 in each group).
½Íĸ˫ÔÓ½»¼°ÏµÍ³ÊÇÒ»ÖÖÅжϺͼì²â×ðÁú¿Ê±ÖÊÏ໥×÷ÓõÄÑо¿ÒªÁ죬£¬£¬£¬£¬£¬ÒòÆä¾ßÓÐѸËÙÐԸߡ¢¹¦Ð§Ç¿Ê¢¡¢ÊÊÓùæÄ£¹ãµÈÌØµã£¬£¬£¬£¬£¬£¬ÏÖÒѱ»Ó¦ÓÃÓÚ¶à¸öÑо¿ÁìÓò¡£¡£¡£¡£
½ð¿ªÈð¿ÉÌṩ½ÍĸÔÓ½»ÎĿ⹹½¨¡¢ºË½Íĸ˫ÔÓ½»É¸Ñ¡¡¢Ä¤½Íĸ˫ÔÓ½»É¸Ñ¡¡¢½Íĸµ¥/Ë«ÔÓ½»Ñé֤ЧÀÍ¡£¡£¡£¡£
| ÏîÄ¿Ãû³Æ | Ó¦Óà | »¥²¹ÊµÑé |
|---|---|---|
| ½ÍĸÔÓ½»ÎĿ⹹½¨ | ½ÍĸÔÓ½»É¸Ñ¡ | / |
| ºË½Íĸ˫ÔÓ½»É¸Ñ¡ | »ñµÃÓëÒÑÖª×ðÁú¿Ê±»¥×÷µÄδ֪×ðÁú¿Ê± | COIP£¬£¬£¬£¬£¬£¬GST pulldown |
| Ĥ½Íĸ˫ÔÓ½»É¸Ñ¡ | Ñо¿Ä¤×ðÁú¿Ê±Ö®¼äµÄ»¥×÷ | COIP£¬£¬£¬£¬£¬£¬GST pulldown |
| ½Íĸµ¥/Ë«ÔÓ½»ÑéÖ¤ | ÒÑÖª×ðÁú¿Ê±Óë×ðÁú¿Ê±/Æô¶¯×ÓÖ®¼äµÄ»¥×÷ | EMSA£¬£¬£¬£¬£¬£¬Ë«Ó«¹âËØÃ¸£¬£¬£¬£¬£¬£¬COIP£¬£¬£¬£¬£¬£¬GST pulldown |
Ĥ½Íĸ˫ÔÓ½»ÏµÍ³ÔÀí£º·ºËØubiquitin°üÀ¨N ¶Ë£¨Nub£©£¬£¬£¬£¬£¬£¬C ¶Ë£¨Cub£©½á¹¹Óò¡£¡£¡£¡£Ê×ÏÈ£¬£¬£¬£¬£¬£¬ÈËΪµÄ½«·ºËØ NubµÄµÚ3λÒìÁÁ°±ËáÍ»±äΪ¸Ê°±ËᣨNubI Í»±äΪ NubG£©¡£¡£¡£¡£ÕâÑùÓë Cub µÄÇ×ÐÁ¦´ó´ó½µµÍ£¬£¬£¬£¬£¬£¬×èÖ¹ÁË Cub ºÍ Nub ×ÔÎÒÁ¬Ïµ»ò¿¿½üµÄ¿ÉÄÜÐÔ¡£¡£¡£¡£ÔÚCub½á¹¹ÓòÈÚºÏLexA-VP16 ת¼¼¤»îÒò×ÓÐγÉCub-LexA-VP16¡£¡£¡£¡£ÓÕ¶ü×ðÁú¿Ê±£¨prey£©ÓëNubGÈںϣ¬£¬£¬£¬£¬£¬ÁÔÎï×ðÁú¿Ê±£¨bait£©ÓëCub-LexA-VP16Èںϡ£¡£¡£¡££¬£¬£¬£¬£¬£¬µ±µ±ÓÕ¶üºÍÁÔÎﱬ·¢Ï໥×÷ÓÃʱ£¬£¬£¬£¬£¬£¬ NubG ºÍ Cub µÄÏ໥¿¿½ü£¬£¬£¬£¬£¬£¬Á¬Ïµ£¬£¬£¬£¬£¬£¬ÐγÉÍêÕû·ºËØubiquitin£¬£¬£¬£¬£¬£¬´Ó¶ø±» UBPs øʶ±ð£¬£¬£¬£¬£¬£¬µ¼Ö LexA-VP16 µÄ¼ôÇУ¬£¬£¬£¬£¬£¬½øÈëºËÄÚ£¬£¬£¬£¬£¬£¬´Ó¶ø¼¤»î±¨¸æ»ùÒòAUR1-C¡¢ADE2¡¢HIS3ºÍMEL1µÄת¼¡£¡£¡£¡£
¢Ù ½ÍĸÔÓ½»ÎĿ⹹½¨
ͼ?ȪԴÓÚ Xu et al. BMC Biotechnology (2020) 20:4
¢Ú ½Íĸ˫ÔÓ½»É¸Ñ¡
ÑôÐÔЧ¹ûµãÖÓSD/-Leu/-Trp/-HIS3/-ADE2+X-¦Á-galƽ°å
ͼ?ȪԴÓÚ Xu et al. BMC Biotechnology (2020) 20:4
ÑôÐÔЧ¹ûPCRÅжÏ
ͼ?ȪԴÓÚ Xu et al. BMC Biotechnology (2020) 20:4
¢Û ½ÍĸÔÓ½»ÑéÖ¤£¨¿ÉÓÃÓÚÎÄÕ½ÒÏþ£©
1: PGBKT7-Bait+PGADT7(?¼¤»îÑéÖ¤)
2: PGBKT7-Bait+PGADT7-Prey(ʵÑé×é)
+: PGBKT7-53+PGADT7-T(ÑôÐÔ±ÈÕÕ)
- : PGBKT7-lam+PGADT7-T(ÒõÐÔ±ÈÕÕ)
Ë«·Ö×ÓÓ«¹â»¥²¹£¨Bimolecular Fluorescent Complimentary£¬£¬£¬£¬£¬£¬BiFC£©¼¼Êõ»ùÓÚ×ðÁú¿Ê±ÖÊÆ¬¶Ï»¥²¹µÄÔÀí£¬£¬£¬£¬£¬£¬ÓÃÓÚÑо¿×ðÁú¿Ê±ÖʼäµÄÏ໥×÷Óᣡ£¡£¡£ÆäÔÀíÊǽ«Ó«¹â×ðÁú¿Ê±£¨ÈçÂÌɫӫ¹â×ðÁú¿Ê±GFP¡¢»ÆÉ«Ó«¹â×ðÁú¿Ê±YFPµÈ£©ÇиîΪÁ½¸ö»¥²¹µ«¸÷×Ô²»·¢¹âµÄƬ¶Ï£¨ÈçN¶ËºÍC¶ËƬ¶Ï£©£¬£¬£¬£¬£¬£¬»®·ÖÓë´ý¼ì²âµÄ×ðÁú¿Ê±ÖÊAºÍBÈںϱí´ï¡£¡£¡£¡£µ±×ðÁú¿Ê±ÖÊAÓë×ðÁú¿Ê±ÖÊBÔÚϸ°ûÄÚ±¬·¢Ï໥×÷ÓÃʱ£¬£¬£¬£¬£¬£¬Ó«¹â×ðÁú¿Ê±Æ¬¶Ï¿¿½ü²¢ÖØ×éΪÍêÕûµÄÓ«¹â×ðÁú¿Ê±£¬£¬£¬£¬£¬£¬´Ó¶øÔÚÏÔ΢¾µÏ±¬·¢Ó«¹âÐźţ¬£¬£¬£¬£¬£¬Ö±¹ÛµØ·´Ó¦ÁË×ðÁú¿Ê±ÖʼäµÄÏ໥×÷Óᣡ£¡£¡£
·Ö×Ó¡¢Ï¸°û¡¢¸öÌåˮƽÉϵĻúÖÆÑо¿¡¢¹¦Ð§Ñо¿¡¢±íÐÍÑо¿ÊÇÉúÎïѧÑо¿ÖеÄÈÈÃÅ¡£¡£¡£¡£·Ö×Ó£¨ºËËáÓëºËËá¡¢ºËËáÓë×ðÁú¿Ê±¡¢×ðÁú¿Ê±Óë×ðÁú¿Ê±£©»¥×÷Ñо¿ÊÇ»úÖÆÑо¿µÄÖ÷Òª×é³É²¿·Ö£¬£¬£¬£¬£¬£¬Êǹ¦Ð§¡¢±íÐÍÑо¿µÄ½øÒ»²½É¡£¡£¡£¡£Ëæ×ÅÈËÀà»ùÒò×éÍýÏëµÄÍê³É£¬£¬£¬£¬£¬£¬ºó»ùÒò×éʱ´úµÄÉîÈ룬£¬£¬£¬£¬£¬²âÐò¡¢ÖÊÆ×¡¢ÉúÎïÐÅÏ¢ÁªºÏÆÊÎöµÈ¼¼ÊõµÄ½øÒ»²½Éú³¤£¬£¬£¬£¬£¬£¬Ê¹µÃ¸ßͨÁ¿É¸Ñ¡ÉúÎï±ê¼ÇÎѰÕÒÉúÎï¹ØÁª·Ö×Ó±äµÃ¿ÉÄÜ£¬£¬£¬£¬£¬£¬Í¬Ê±¶Ô·Ö×Ó»¥×÷¼¼ÊõµÄÓ¦ÓÃÌá³öÁ˸ü¸ßµÄÒªÇ󡣡£¡£¡£
½ð¿ªÈð¶àÄêÀ´ÖÂÁ¦ÓÚ·Ö×Ó»¥×÷»úÖÆÑо¿£¬£¬£¬£¬£¬£¬×齨ÁËרÃŵķÖ×Ó»¥×÷Ñо¿¼¼ÊõÍŶӣ¬£¬£¬£¬£¬£¬ÓµÓи»ºñµÄ»¥×÷ÀàÏîÄ¿Éè¼Æ¡¢ÊµÑéÂÄÀú£¬£¬£¬£¬£¬£¬¿ÉÒÔΪÄúÌṩºËËáÓëºËËá¡¢ºËËáÓë×ðÁú¿Ê±¡¢×ðÁú¿Ê±Óë×ðÁú¿Ê±¼äµÈÖÖÖִӼƻ®Á÷³ÌÉè¼Æµ½¼¼ÊõʵÑéµÄÕûÌ×»¥×÷Ñо¿Ð§ÀÍ¡£¡£¡£¡£
±ðµÄ£¬£¬£¬£¬£¬£¬½ð¿ªÈðÉúÎï»¹ÌØÊâÍÆ³öÁ˶à¿î¸ßЧ¡¢ÇáÓ¯ÇÒ¾¼Ãʵ»ÝµÄ»¥×÷ÆÊÎöС¹æ¸ñÊÔ¼ÁºÐ£¬£¬£¬£¬£¬£¬°üÀ¨µ«²»ÏÞÓÚRIP kit(6T)¡¢Co-IP kit(¶¯Îï/Ö²Îï)(6T)¡¢ChIP kit(¶¯Îï/Ö²Îï)(6T)¡¢RNA pull-down kit(6T)¡¢ÒøÈ¾ÊÔ¼ÁºÐ(10T/20T/40T)¡¢DNA pull-down kit(¶¯Îï/Ö²Îï)(6T)ºÍ˫ӫ¹âËØÃ¸±¨¸æ»ùÒò¼ì²âÊÔ¼ÁºÐ(50T)£¬£¬£¬£¬£¬£¬Ö¼ÔÚΪÄúµÄÑо¿Ìṩ¸ü¶àµÄÑ¡Ôñ£¬£¬£¬£¬£¬£¬»¶Ó²É¹º¡£¡£¡£¡£
×ðÁú¿Ê±


